PATHOPHYSIOLOGY PROCTORED EXAM JEFFERSON COLLEGE
Total Questions : 59
Showing 10 questions, Sign in for moreA skin biopsy is examined by light microscopy in the Pathology Department. Neutrophils (polys) are seen attached to endothelial cells lining small blood vessels (shown). What is the most likely reason for this pathologic finding?

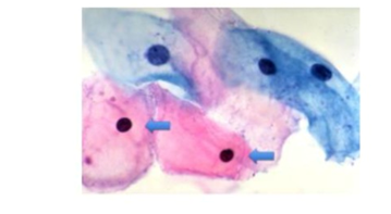
A 31-year-old woman complains of increased vaginal discharge of 1 month duration. A cervical Pap smear is obtained. Superficial epithelial cells in the smear show condensed pyknotic nuclei (see arrows). Pyknosis is typically associated with which of the following processes?

Renal cell carcinomas may secrete a hormone (erythropoietin) that stimulates erythrocytosis (increased hematocrit). The bone marrow of such patients contains an increased number of erythrocyte stem cells. Which of the following terms best describes this change in cellularity of the patient's bone marrow?
Which of the following is an autoimmune blistering skin disease caused by autoantibodies to surface antigens on stratified squamous epithelial cells?
Vasodilation of precapillary arterioles during acute inflammation increases blood flow to injured tissue. Which of the following terms best describes this hallmark of inflammation?
A 50-year-old man is found to have blood in his urine (hematuria) during a routine check up. Vital signs are normal. An owing abdominal CT scan reveals a 2-cm right renal mass, and a CT-guided needle biopsy establishes a diagnosis of renal cell carcinoma. You inform the patient that "staging" of his tumor is key to selecting treatment and evaluating prognosis. Which of the following is the most important staging factor for this patient?
Chest x-ray of a 28-year-old man with a history of alcoholism reveals a pulmonary abscess within the middle lobe of the right lung. Which of the following terms appropriately describes the material filling this cystic lung cavity?
A 23-year-old pregnant woman asks you for examples of chemical, physical, and biological agents that are risk factors for congenital birth defects. Which of the following terms best describes these agents?
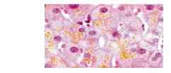
An 80-year-old man dies of metastatic cancer. Histological examination of the liver at autopsy is shown. What is the most likely explanation for the accumulation of intracellular golden granules composed of cross-linked proteins and lipids within hepatocytes in this patient?

Physical examination of a 48-year-old woman reveals large erythematous and scaly plaques (shown). Which of the following is the most likely diagnosis?

Sign Up or Login to view all the 59 Questions on this Exam
Join over 100,000+ nursing students using Naxlex’s science-backend flashcards, practice tests and expert solutions to improve their grades and reach their goals.
Sign Up Now
